Search This Blog

Wednesday, August 20, 2014

This New Genetic Test May Change How Brain Cancer Is Treated

This New Genetic Test May Change How Brain Cancer Is Treated


Scientists at Virginia Tech’s Virginia Bioinformatics Institute working with the Center for Cancer and Blood Disorders at Children’s National Medical Center have found a new way to diagnose brain cancer based on genetic markers found in “junk DNA.”

The finding, recently published in Oncotarget, could revolutionize the way doctors treat certain brain cancers.

Brain cancer is the second leading cancer-related cause of death in children. Overall, 70,000 new patients were diagnosed with primary brain tumors in 2013, according to the American Brain Tumor Association.

However, only about a third turn out to be malignant. Ordinarily, when a patient shows symptoms of a brain tumor, an MRI is performed to locate tumors, but it cannot determine whether the tumor is benign or malignant, often necessitating costly and occasionally dangerous or inconclusive biopsies.

A simple blood test to detect genetic markers could change all that.

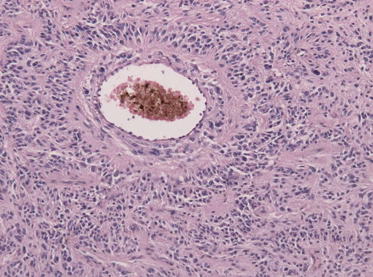
This image is a biopsy specimen of a Glioblastoma showing angiocentric growth reminiscent of ependymal neoplasms (HE stain).

Next-generation genome sequencing is allowing researchers to find increasingly more markers for a variety of diseases, including cancer and autism. This image is for illustrative purposes only and shows a biopsy specimen of a Glioblastoma showing angiocentric growth reminiscent of ependymal neoplasms (HE stain). Credit Jensflorian.

“Patients with less aggressive types of cancer as determined by this test would not need a biopsy,” said Harold ‘Skip’ Garner, a professor and director of the Medical Informatics and Systems Division at the Virginia Bioinformatics Institute. “The biopsy is expensive both medically and financially — one percent of patients die and seven percent have permanent neurological damage from the procedure, according to the Canadian Journal of Neurology. This finding may reduce costs and save lives.”

Microsatellites, long dismissed as “junk DNA,” comprise the one million DNA sequence repeats in the human genome.

Though they’ve been effective in identifying rare conditions such as Huntington’s and Fragile X syndrome, next-generation genome sequencing is allowing researchers to find increasingly more markers for a variety of diseases, including cancer and autism.

The study analyzed germline (blood) sequences from the National Institutes of Health 1000 Genomes Project and the Cancer Genome Atlas.

Analyzing the microsatellites from these sequences revealed that patients with various stages of glioma showed recognizable and consistent markers in their genomes for the disease.

This information indicates it is possible to develop a simple blood test that would help identify patients with different brain cancer grades, which could reduce invasive and inconclusive brain biopsies.

These new, microsatellite-based diagnostics are applicable to many other cancers and diseases. It is hoped that with continued study, more markers and potential drug targets or therapies will be found.

To further the development of such diagnostics, Garner has founded Genomeon, which holds an exclusive license in microsatellite technologies worldwide. Michael B. Waitzkin, CEO of Genomeon, said, “A blood test that can reliably differentiate between a malignant and benign brain tumor will have important clinical significance potentially preventing unnecessary brain biopsies which carry great risks to the patient and substantial costs to the health care system.”
 
Notes about this brain cancer and genetics research

Source: Tiffany L Trent – Virginia Tech
 
Contact: Virginia Tech press release
 
Image Source: The image is credited to Jensflorian and is licensed Creative Commons Attribution-Share Alike 3.0 Unported
 
Original Research: Abstract for “Somatic intronic microsatellite loci differentiate glioblastoma from lower-grade gliomasy” by Enusha Karunasena, Lauren J. McIver, Brian R. Rood, Xiaowei Wu, Hongxiao Zhu, Jasmin H. Bavarva and Harold R. Garner in Oncotarget. Published online June 5 2014 doi:not available

Philosophy of science

From Wikipedia, the free encyclopedia https://en.wikipedia.org/wiki/Philosophy_of_science Philosophy of science  is the branch of  philosoph...